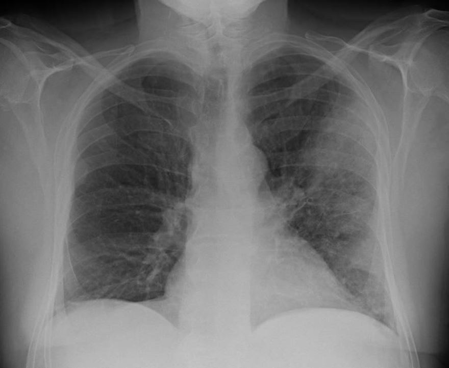
legionella case 2

Leave a comment