Category Antimicrobial

Understanding Antibiotic Spectrum and Efficacy: A practical guide for JMOs

Guest posting: Dr Eliza Milliken, Infectious Diseases Physician, Clinical Pharmacology Fellow, Chair District Quality Use of Medicines, Hunter New England Health Key takeaways Antibiotics are selective chemotherapeutic agents—cytotoxic to bacteria, not humans Antibiotic efficacy is governed by a complex interplay of host pharmacokinetics and organism pharmacodynamics It’s not just about T>MIC or half-life—dosing needs context […]

New antibiotics on the (near) horizon – a report from Josh Davis from recent USA ID Week

Guest posting: Assoc. Prof. Josh Davis, President, Australasian Society for Infectious Diseases. @Guru_JoshD “ID week” is a large US infectious diseases conference; this year it was in San Francisco, and had over 8,000 delegates. The most talked about trial at this conference (mentioned in at least 5 different sessions) was the Australian-led MERINO trial, an […]

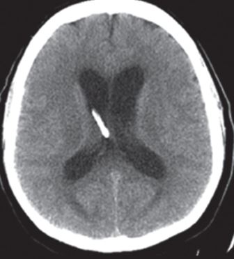
The safe use of intraventricular colistin

Guest posting : Dr Jonathan Ash, Advanced training registrar, John Hunter Hospital. Ventriculitis is a rare but potentially disastrous complication of external ventricular drain placement, and with increasing rates of multi-drug resistant organisms, effective parenteral antibiotic choices are limited. Colistin has an established role in the treatment of infections caused by MDR Gram negatives, particularly […]

Piperacillin+tazobactam shortage – recommended alternatives – HNELHD

SITUATION Due to a global shortage, many Hunter New England Local Health District sites have low supplies of piperacillin+tazobactam with shortages likely until after September. It is essential that further use of this agent is conserved as below.  Amoxycillin+clavulanate is now available in a parenteral form and is a suitable option in many circumstances, contingent on local […]

Nitroimidazoles: metronidazole, tinidazole – recent succinct overview

Guest post: Dr Rod Givney, Pathology North Microbiologist.   How well do you know these commonly used drugs, their pros and cons?  Here is an up-to-date overview prepared for our advanced trainee tutorial series. Nitroimidazoles overview 2017 Givney.

The old antibiotics are still useful – Fosfomycin

The Special Access Scheme (SAS) allows practitioners to import/gain access to therapeutic goods currently not registered on the Australian Register of Therapeutic Goods (ARTG) for a single patient on a case by case basis. Fosfomycin (one such SAS drug) is a broad spectrum antibiotic belonging to the phosphonic acid derivative drug class (other examples in this drug class include foscarnet and adefovir).

Q10 – Remembering antibiotics and their classes

Our JMO pre-test survey also asked “What puzzles you about antibiotics and their use”. A recurring theme was concern about remembering the various classes and names of antibiotics. Here are some useful pointers and a short quiz ! 

Q2 Understanding antibiotic resistance and Staphylococcus aureus

Q2 in our JMO pre-test asked: “What is the main mechanism by which the bacterium Staphylococcus aureus becomes resistant to penicillin?” We gave alternatives enumerating basic mechanisms that micro-organisms use (often in combination) to become resistant to an antimicrobial agent (graphic below).   Production of penicillinase (i.e. inactivation by a type of beta-lactamase) was the correct answer– more […]

Antibiotic classes – why so important to know about them?

The antibiotic knowledge survey of our new interns this week,  showed that many were confused about which class vancomycin (a glycopeptide) fell into (30% thought it was an aminoglycoside).  This is a potentially dangerous confusion as the dosing, side effects and monitoring all differ substantially between these classes: Aminoglycoside Glycopeptide Indicative agents Gentamicin Vancomycin Dosing […]

Penicillin ‘allergy’ and safety of third generation cephalosporins (ceftriaxone)

A frequent issue is deciding whether a patient with a “penicillin allergy” can safely be given a cephalosporin antibiotic – what is the real risk of cross reaction and is it much less for third generation agents such as ceftriaxone? A recent publication in Prescriber Update from Medsafe New Zealand succinctly analyses cross-reactivity amongst beta-lactam antibiotics in the light […]