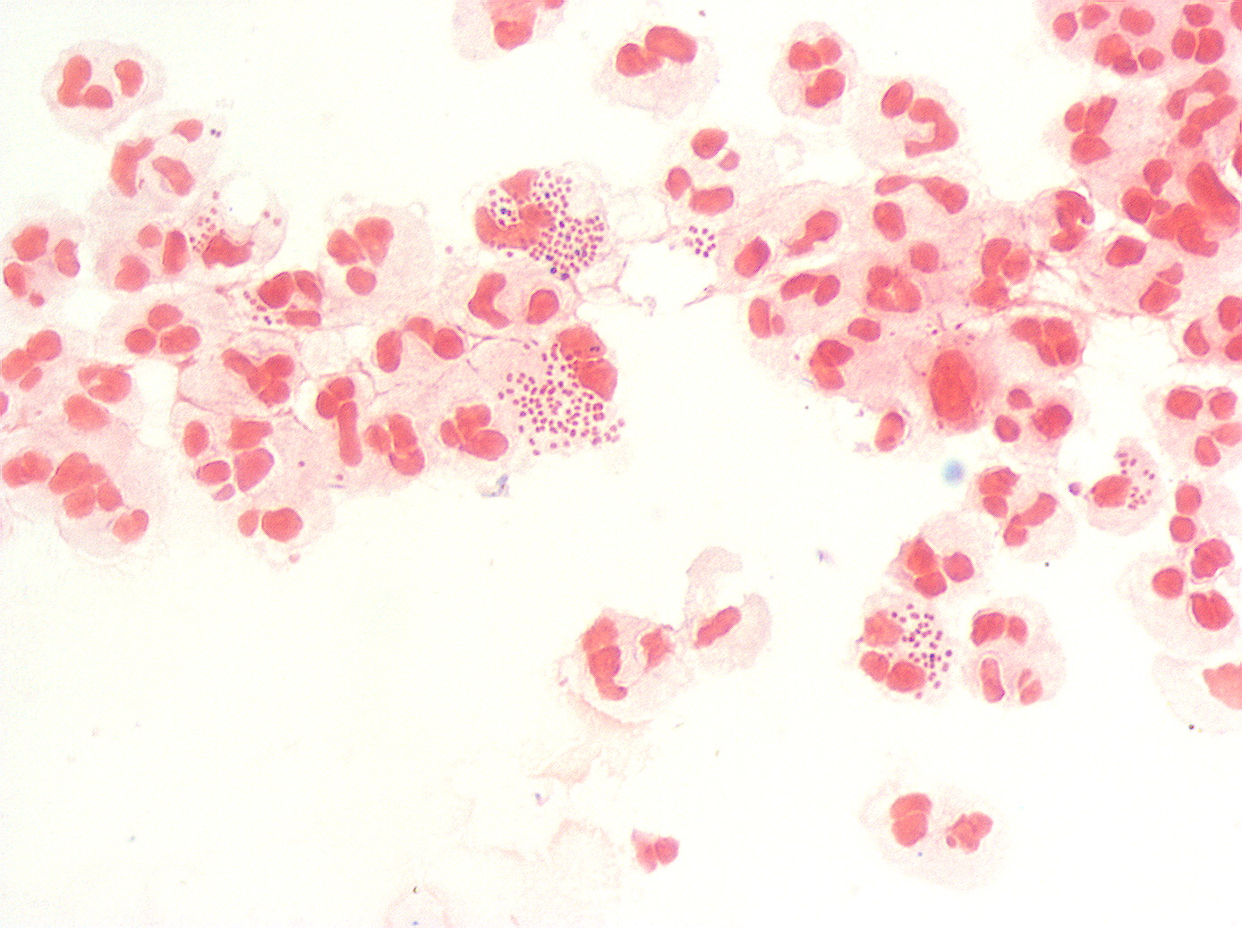
Gono in gram stain 2

Leave a comment