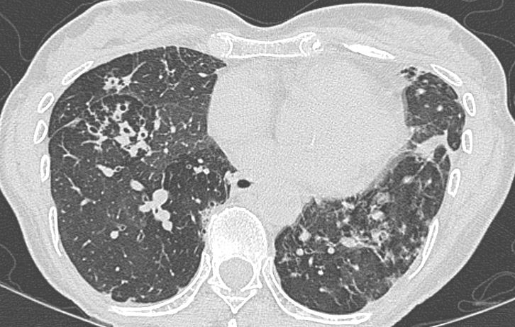
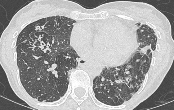
The setting – patients with bronchiectasis (including those with cystic fibrosis) have impaired respiratory secretion clearance and a vastly different lower respiratory flora (microbiome) than patients with normal lungs. They are frequently colonised with conventional respiratory species such as Haemophilus influenzae and Moraxella catarrhalis, Staphylococcus aureus, a diverse range of Gram negative bacteria and even fungi. Colonisation/infection with non-tuberculous mycobacteria is an important consideration.
The problem – these patients present with acute ‘infective’ exacerbations of their disease with increased cough, sputum (increased quantity and altered consistency) and fever. Many, if not most, such exacerbations are triggered by antecedent respiratory virus infection (occurring up to two weeks prior – a similar pattern occurs with patients with chronic obstructive lung disease exacerbations). In the aftermath, the colonising isolates grow up to a much greater quantity in the respiratory tract and sputum production increases. There is usually no accompanying pneumonia.
Goals of antibiotic treatment – in treating of patients with acute exacerbation, the goal is to reduce the bacterial load and attendant inflammation; eradication is impossible due to the presence of biofilm within the airways and inadequate drainage. The optimal duration of antibiotic treatment has never been determined by randomised clinical trial; typically 10-14 days is used. There is certainly no proven utility in prolonging therapy once clinical response has occurred and demonstration of organism clearance from sputum is not recommended! Antibiotic treatment may not in fact be the primary factor in response, given that hospital physiotherapy, natural history of viral infection recovery, management of bronchospasm, rest and improvements to diet may all contribute to recovery. We really need RCTs of short duration antibiotic therapy in this disease. As to choice of antibiotic – that is another can of worms that will be discussed in a future posting! Australian data on bronchiectasis.
