A new HNE LHD Guideline for antibiotic use in cystic  fibrosis lung disease is now available.  

Guest post: Patrick Harris, Staff Specialist in Microbiology, Central Laboratory, Pathology Queensland, Brisbane Infectious disease and microbiology trainees diligently learn about organisms that have a type of broad-spectrum beta-lactamase (i.e. an enzyme that can inactivate betalactam antibiotics) called ‘AmpC’.  These enzymes are encoded by a gene that is usually located on the chromosome of many Gram-negative […]

We all know that antibiotic resistance increases through improper use of antibiotics. With recent discoveries of bacteria containing antibiotic resistance genes in isolated tribes it would seem that bacteria have always been resistant- so why is it such a problem now?

Guest post: Patrick Harris, Staff Specialist in Microbiology, Central Laboratory, Pathology Queensland, Brisbane Overseas travel and prostate biopsies: a key risk-factor for infectious complications with multi-drug resistant bacteria Given an ageing population and the current reliance upon PSA testing to screen for prostate cancer, patients are increasingly being referred for trans-rectal ultrasound (TRUS)-guided prostate biopsies.  Millions […]

Guest post : Ian Whyte, Professor of Clinical Pharmacology at Calvary Mater Newcastle and University of Newcastle Case report (Knorr et al 2008 Ciprofloxacin-induced Q-T interval prolongation) 16-year-old boy was admitted for the treatment of an acute flare of Crohn’s disease and a perirectal abscess. The patient was started on ciprofloxacin 400 mg IV twice daily […]

Much time is spent discussing the development of antimicrobial resistance and changes to the microbiome but perhaps should we should also focus on the potential for patient mortality.  Based on best current estimates, trimethoprim, macrolides and quinolones may be less safe than chloramphenicol in certain patient populations. A future posting will provide a practical approach to the […]

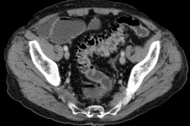
Guest posting: Dr Celia Cooper, Paediatric Infectious Diseases & Microbiology, South Australia Pathology,  Adelaide Dr Cooper’s recent presentation to the Australian New Zealand Paediatric Infectious Diseases Interest Group in November is provided with her permission. Her presentation highlights important messages:   Post-operative antibiotics for patients with non-perforated appendicitis who have acute surgery are unnecessary (refer to IDSA Guidelines […]

Guest posting : Dr Daniel Isacson, local GP (ex Swedish researcher) The evidence is out and there is no proven benefit in recovery or complication rates in treating these patients with or without antibiotics, but still many GPs and surgeons prefer to use antibiotics. How do we get the word across? 

Guest posting from Dr Gillian Deakin,  General Practitioner and author of 101 Things Your GP Would Tell You If Only There Was Time.  Beyond the usual medical challenges of appropriate prescribing,  GPs also need skills to ensure that the patient accepts the treatment. Unlike the hospital patient where the patient is largely obliged to accept […]